Estetica dentara

serviciu

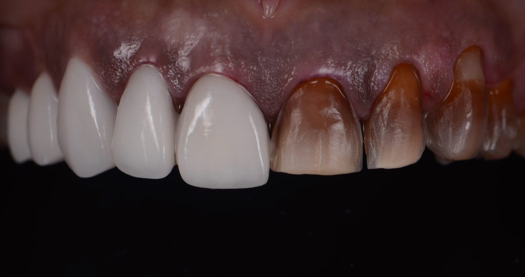
Estetica dentara se refera la tehnicile si procedurile ce fac parte din mai multe specialitati stomatologice, avand ca rol imbunatatirea aspectului dintilor.

descopera
Estetica dentara
Estetica dentara

CE ESTE ESTETICA DENTARA?

Estetica dentara se refera la tehnicile si procedurile ce fac parte din mai multe specialitati stomatologice, avand ca rol imbunatatirea aspectului dintilor.

Estetica dentara se adreseaza pacientilor care-si doresc dinti sanatosi, bine aliniati, de o forma cat mai apropiata de perfectiune, si, nu in ultimul rand, mult mai albi. Din fericire, tehnologia actuala, foarte avansata, ne pune la indemana o gama foarte variata de mijloace.

Dupa realizarea planului de tratament prin expertiza multidisciplinara si cu ajutorul investigatiilor de diagnostic realizate in cadrul clinicii, fiecare pacient poate incepe etapele de tratament care ii vor transforma zambetul.

PRODUSE FOLOSITE

Art  Dental  Studio

Noi folosim un kit de albire care nu contine peroxid. Este vorba despre un gel cosmetic cu un agent inovativ care este activat prin intermediul luminii Led.

Prin actiunea luminii, acesta poate patrunde lin pe suprafata dintelui, formand un complex in smaltul acestuia. Prin procesul de oxidare se formeaza niste radicali liberi care indeparteaza acest complex, decolorandu-l (de aici si culoarea alba a dintilor) deci nu se produce nicio reactie invaziva asupra dintelui sau smaltului. Reactiile au loc doar intre complexul format de Kit si Lumina Led care faciliteaza oxidarea.

Prin folosirea gelului fara peroxid se asigura:
- Lipsa sensibilitatii dentare
- Sanatatea ulterioara albirii a dintelui/smaltului
- Nicio afectare odata cu trecerea timpului, astfel incat putem afirma ca, albirea Casablanca nu are niciun efect advers. Singurul efect benefic va fi redarea albului natural al dintilor.

FLUORUL SINGUR NU VA PREVENI CARIILE

Art  Dental  Studio

Este important sa se faca periajul dentar de cel putin doua ori pe zi, sa se foloseasca ata dentara cu regularitate, mancati mese echilibrate, reducerea gustarilor dulci, si vizita la dentist in mod regulat. Sigilari Sigilarea este un strat subtire aplicat pe suprafata de mestecat a molarilor, premolarilor si a santurilor adanci (numite gropi si fisuri) de pe dinti. Mai mult de 75% din cariile dentare incep in aceste santuri. Dintii cu aceste conditii sunt greu de curatat si sunt foarte sensibili la carii.

O etansare protejeaza dintele prin sigilarea santurilor adanci, creand o suprafata neteda care este mai usor de curatat. Sigilarea dentara poate proteja dintii de carii pentru multi ani, dar trebuie sa fie verificata la controale dentare regulate. Instructaj de periaj Un zambet frumos, sanatos, care dureaza o viata intreaga este obiectivul nostru final atunci cand tratam pacientii. Ingrijirea personala de acasa joaca un rol important in realizarea acestui obiectiv. Periaj dentar Este necesar ca periajul dintilor sa fie facut de cel putin doua ori pe zi (in special inainte de a merge seara la culcare).

Klaas - Dentist website Webflow template

TEHNICI UTILIZATE

Art  Dental  Studio

Detartrajul dentar cu ultrasunete este o inovatie care a revolutionat indepartarea placii bacteriene, fara sa lezeze gingiile sau limba.Detartrajul indeparteaza complet tartrul de pe dinti si de sub gingii, depozitele bacteriene si stimuleaza circulatia locala a sangelui.

Datorita traumatismului cu mult redus fata de detartrajul dentar traditional, procedura este mult mai sigura, rapida si usor tolerat de pacienti, inclusiv de cei care sufera de hemofilie sau parodontita.

Vibratiile pe care le emite dispozitivul nu sunt deloc agresive. Nu presupune anestezie si nu doare. Totodata, curata zonele subgingivale, care sunt greu de explorat. Nu dispune de efecte secundare.Air flow este o metoda care combina folosirea unui dispozitiv din care iese un jet de aer comprimat, apa si particule fine de bicarbonat de sodiu direct pe suprafata dintelui si totodata de a lustrui impuritatile care au ramas de pe urma detartrajului si periajului. Fluorizarea reprezinta finalul procedurii de detartraj si este folosita pentru a intari suprafata dintilor prin aplicarea fluorului.

CAND E TIMPUL SA LUATI MASURI?

Art  Dental  Studio

In cazul in care gingivita nu este tinuta sub control, placa bacteriana si produsii sai toxici inving sistemul de aparare local si duc la afectarea integritatii osului.

Semnele ce pot indica o forma a parodontozei sunt:-
respiratie urat mirositoare;
- sangerare gingivala spontana sau la periajul dintilor;
- gingii umflate si rosii;
- sensibilitate dentara;
- mobilitate dentara;- retractii gingivale cu expunerea radacinilor dintilor;

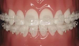
AVANTAJELE APARATELOR DENTARE

Corectarea posturii dintilor

Cu ajutorul aparatului dentar iti poti indrepta si corecta curbura arcadei dentare.

Confera estetica dentara

Prin alinierea arcadelor dentare rezulta un aspect estetic.

Masticatie imbunatatita

Corectarea curburii arcadelor dentare ofera totodata si o muscatura corecta.

Creste increderea de sine

O data cu indreptarea dintilor, increderea de sine creste datorita zambetului estetic.

INFORMATII UTILE DESPRE FATETE DENTARE

Beneficiezi de un zambet stralucitor

Culoarea fatetelor dentare nu se modifica in timp, ramanand astfel cu un zambet imaculat o vreme foarte indelungata.

Durabilitatea zambetului este garantata

Zambetul tau perfect va avea o durata de viata intre 10 si 15 ani.

Fara costuri suplimentare

Fatetele dentare nu necesite costuri suplimentare pentru ingrijirea profesionala.

Proces de scurta durata

Fatetele sunt realizate de obicei pe parcursul a doua programari de cate o ora si jumatate.

CE IMPERFECTIUNI CORECTEAZA PROCEDURILE ESTETICII DENTARE

Mici spatii interdentare

Traumatisme dentare

Dinti asimetrici

Dinti incorect aliniati pe arcada

Culoarea inestetica a smaltului

Dizarmonie facial

Cu ce se ocupa ortodontia?

Este o specialitate medicala din domeniul stomatologiei care vizeaza prevenirea sau corectarea anomaliilor de pozitie ale dintilor prin intermediul aparatelor dentare.

Cat trebuie sa port aparatul dentar?

In functie de gravitatea situatiei, durata de purtare variaza. Cazurile usoare poarta aparatul intre sase luni si un an, iar cele cu anomalii grave pot ajuge pana la trei ani.

Cat costa un aparat dentar?

Preturile variaza in functie de tipul aparatului dentar, insa cel mai ieftin este aparatul dentar de metal urmat de aparatul dentar ceramic. Nu este tocmai ieftin, dar este important pentru sanatatea ta orala.

Trebuie sa evit unele alimente?

Da, evitarea unor alimente este obligatorie atunci cand ai aparat dentar. Alimente precum popcornul, nucile, bomboanele, guma de mestecat etc.

Fatetele se pot pune si pe molari?

Nu, fatetele dentare nu se pot pune pe molari, limita fiind pana la premolari.

Dupa punerea fatetelor, au nevoie de o ingrijire speciala?

Ingrijirea profesionala a fetetelor nu este necesara, doar consul periodic. Igienizarea lor se face ca si cea a dintilor naturali.

Se pot aplica fatete peste alta lucrare?

Fatetele dentare se pot pune doar pe dintii naturali.

Ce preturi au fatetele dentare?

Preturile variaza in functie de materialul folosut pentru acestea. Ceramica fiind cea mai scumpa cu preturi de aproximativ 1500 lei pe fateta.

Cum functioneaza procesul?

Procesul de albire (între 2-9 nivele) durează aproximativ: 30 de minute pachetul Clasic, 45 minute pachetul Premium. În urma acestei metode rezultatul este vizibil imediat, durata efectului fiind de aproximativ 6 luni, efect care depinde însă şi de grija pe care o acordaţi d-voastră danturii.

Cum procedati?

Vă programaţi pentru un plan de tratament, unde se va stabili tipul de albire (Clasic sau Premium) pe care urmează să îl efectuaţi. În primul rând o să vă stabilim culoarea dinţilor, apoi vă vom pofti în scaun. Apoi o să vă aplicam kitul de albire. Vom poziţiona lampa led astfel încât albirea să fie eficientă, intrând în contact cu kitul de albire. Împreună vom evalua rezultatul d-voastă, şi împreuna vom hotări dacă mai este nevoie de o continuare a procesului (înca 15 min). La final vom îndeparta gelul cu ajutorul unei periuţe de dinţi şi al unei paste speciale pe bază de microparticule.

Cat dureaza un tratament endodontic?

Cele mai frecvente dureri de dinti sunt legate de afectarea pulpei dentare. Aceasta durere de dinti a fost denumita, in trecut, de specialisti - strigatul dintilor.

Cat de dureros este tratamentul de canal?

Toate tratamentele endodontice sunt efectuate sub anestezie locala profunda. Prin realizarea acestei anestezii se asigura un comfort sporit pacientului, dar si medicului dentist.

Exista totusi si cazuri, in numar mic, in care inflamatia pulpara cat si infectia tesuturilor adiacente sunt foarte avansate, acestea impiedicand anestezicul sa isi faca efectul la potential maxim, determinand o instalare partiala a anesteziei.

Intre sedintele de tratament, dar si la finalizarea acestuia, exista posibilitatea aparitiei unei sensibilitati la nivelul dintelui, aceasta putand fi inlaturata prin administrarea unor antiinflamatorare si analgezice moderate.

Tratamentele de canal moderne sunt efectuate cu ajutorul instrumentarului rotativ oferind medicului o mai buna precizie. In cadrul clinicii noastre tratamentele endodontice se efectueaza cu Micromotor endodontic inovativ

Printr-o miscare de reciprocitate, micromotorul VDW SILVER RECIPROC prepara usor, sigur si rapid canalele.

Face posibila prepararea canalelor anatomice dificile cu rezultate predictibile folosind un singur ac.

Estetica dentara
  • placa bacteriană este factorul principal determinant al bolii parodontale care se formează atunci când igiena bucală este deficitară. Placa bacteriană este un depozit moale lipicios, alb gălbui, formată din microorganisme ce eliberează toxine care duc la inflamarea țesuturilor.
  • tartrul dentar – depozit de consistență crescută aderent de suprafața dinților, format prin mineralizarea plăcii bacteriene
  • cariile
  • lucrări protetice incorect adaptate
  • înghesuiri dentare
  • scrâșnirea dinților (bruxism)
  • obiceiuri vicioase – fumat, consumul de bauturi alcoolice, droguri
  • medicamente utilizate în tratarea bolilor cardiovasculare, neurologice, tumorilor maligne

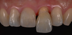
O punte dentara (un pod) este o structura fixa si este un mod excelent de a inlocui dintii absenti. Exista mai multe tipuri de punti dentare. Tu si medicul dentist veti discuta despre cele mai bune optiuni pentru cazul tau.

Podul „traditional” este cel mai popular tip si este, de obicei din metal si ceramica (portelan aplicat pe un suport metalic). Acest tip de punte consta din doua coroane care acopera doi dinti de ancorare (dinti stalpi) si la ei se anexeaza puntea (dintii artificiali); spatiul gol (bresa) este de unul sau mai multi dinti.

Situatii in care sunt indicate si cerute puntile dentare:

  • umplerea bresei dentare (spatiului ramas dupa extractii dentare)
  • mentinerea formei fetei
  • impiedicarea inclinarii dintilor vecini bresei (spatiului gol)
  • reabilitarea functiei masticatorii si fonatiei
  • reabilitarea zambetului

Ce implica o punte dentara?

O punte dentara necesita de obicei doua sau mai multe vizite. In timp ce dintii stalpi sunt anesteziati, se pregatesc prin eliminarea unei parti din smalt, pentru a permite o coroana. Pe urma se ia o amprenta foarte precisa, care va fi trimisa la un laborator dentar. In plus, va fi realizata o punte provizorie in cabinet care va fi purtata mai multe saptamani, pana la urmatoarea programare.

La o urmatoare vizita, puntea permanenta va fi atent verificata, ajustata si cimentata. Ocazional, medicul stomatolog poate cimenta puntea doar provizoriu, ca sa permita dintilor si tesuturilor sa se obisnuiasca cu noua lucrare. Lucrarea protetica va fi cimentata definitiv la o urmatoarea programare. Vei primi instructiuni de ingrijire la incheierea procedurii. Periajul corect, folosirea atei dentare si vizitele dentare regulate vor prelungi durabilitatea noii lucrari protetice. Puntile dentare sunt foarte durabile, insa chiar si acestea pot avea nevoie de inlocuiri sau necesitatea de a fi re-cimentate din cauza uzurii.

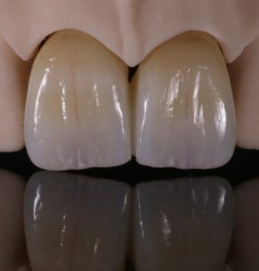
Fatetele ceramice - un procedeu de tratament modern de ultima ora, dezvoltat in Statele Unite, in California - ofera rezultate exceptionale, putand modifica culoarea dintilor ingalbeniti, schimba forma sau pozitia unor dinti frontali inestetici, reda lungimea naturala a dintilor abrazati, sau reface gradul de vizibilitate al dintilor frontali, pentru a se obtine un zambet intinerit.

Se confectioneaza unicat, in forma, culoarea si pozitia dorita si corecteaza estetic dintele sau dintii deteriorati, fie ca este vorba carii si fracturi, de diastema (strungareata) sau ciobituri, deformari sau coloratii persistente, dinti inghesuiti sau abrazati.

Deoarece confectionarea lor implica arta si stiinta si necesita experienta indelungata, respectiv tehnologie deosebita, tratamentul de fatetare este considerat "varful de lance" in randul procedurilor de cosmetica dentara.

Fatetarea dintilor este extrem de conservativa fata de tesutul dentar, astfel incat uneori, in functie de cazul clinic, putem realiza fatete laminate fara nicio preparatie, adica fara a atinge cu freza dintii pe care pacientul doreste sa ii modifice, iar alteori se indeparteaza doar 0,3-0,5 mm din smaltul dintilor, fara a se ajunge la dentina.

Avantaje

Fatetele dentare sunt des intalnite in crearea sau reconstructia unor zambete noi. Cu ajutorul unor fatete dentare ceramice, poti obtine zambetul visat intr-o perioada foarte scurta de timp. Fatetele dentare nu se modifica coloristic, astfel incat acestea sa devina o solutie bine cunoscuta in randul multor persoane care cauta un zambet perfect.

Puternice si foarte durabile, fatetele dureaza intre 10 la 15 ani, si se pot realiza in culori care lumineaza dintii inchisi la culoare. Fatetele sunt realizate de obicei pe parcursul a doua programari de cate o ora si jumatate, si pot sa contribuie si la intarirea dintilor.

Nu exista costuri in plus de intretinere in afara unei vizite de verificare la medicul dentist, urmata de un periaj potrivit. Pacientl trebuie sa pasteze o igiena adecvata.

Este printre putinele modalitati de a obtine rapid "zambetul de vis".

Spre deosebire de celelalte tipuri de aparate dentare fixe, cel lingual se aplica pe fata interna a dintilor (fata dinspre limba/palat). Exista mai multe sisteme de aparate dentare linguale concepute si confectionate de diferite companii. Dr. Ghiba Raluca este certificata pentru sistemul numit Incognito!

Sistemul Incognito™ dispune si de varianta Incognito Lite, care se aplica doar pe 6-8 dinti ai arcadei dentare. Sistemul Incognito™ Lite este indicat in cazul inghesuirilor dentare anterioare minore si moderate sau in cazurile de recidiva dupa tratament ortodontic anterior.

Avantaje aparat dentar lingual

  • Complet invizibil ⇒ puteti zambi linistiti
  • Confectionati de catre laboratorul dentar individualizat pentru fiecare pacient, putand fi utilizati doar pentru dvs.
  • Cu ajutorul lor se poate trata un numar destul de mare de anomalii dentare
  • Eliminarea riscului de aparitie a petelor albe (decalcifieri) pe fetele vizibile ale dintilor
  • Bracket-urile fiind realizate din aliaj de aur, pot fi utilizate la persoanele alergice la nichel

Dezavantaje aparat dentar lingual

  • Contraindicat pacientilor cu toleranta mica la disconfort
  • Tratamentul poate dura mai mult; sedintele de activare dureaza uneori mai mult decat in cazul aparatelor traditionale.
  • Disconfort mai ridicat la nivelul limbii si dificultati de vorbire mai ales la inceput, ambele ameliorand-se de obicei in 2-4 saptamani pret mai ridicat pentru ca este conceput si confectionat computerizat special pentru dvs.

Cele mai frecvente dureri de dinti sunt legate de afectarea pulpei dentare. Aceasta durere de dinti a fost denumita, in trecut, de specialisti - strigatul dintilor.

O carie netratata duce la afectarea nervului dintelui, cauzand dureri care de multe ori nu cedeaza la analgezice uzuale. In acest moment afectarea pulpei (nervului) este una ireversibila. Tratamentul de canal este iminent.

  • ereditatea (predispoziția genetică)
  • stresul
  • deficiente de nutriție (hipovitaminoza A, C, B, PP, D)
  • boli hematologice, cardiovasculare
  • tulburări endocrine (tiroidiene, paratiroidiene, hipofizare, diabet, pubertate, sarcina ,menopauza)
  • deficiențe imune

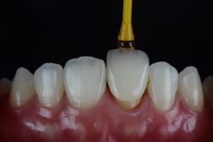
O coroana dentara este o piesa care acopera intreaga suprafata a dintelui restaurand atat forma, cit si dimensiunea sa originala. O coroana protejeaza si intareste structura dintelui, care nu poate fi reconstituit cu obturatii sau alte tipuri de restaurari.

Desi exista mai multe tipuri de coroane, cele metalo-ceramice (in culoarea dintelui) sunt cele mai populare. Ele sunt extrem de durabile, dar ca cele mai multe restaurari dentare, ar putea avea nevoie in cele din urma sa fie inlocuite. Coroanele de portelan sunt facute pentru a se potrivi cu forma, marimea si culoarea dintilor oferindu-va un zambet natural,frumos, de lunga durata.

Situatii in care sunt indicate coroanele dentare:

  • dinti fracturati
  • motive estetice
  • dinti cariati
  • dinti tratati endodontic
  • dinti cu obturatii mari

Ce presupune o coroana dentara?

O coroana dentara necesita de obicei 3-4 programari. Prima programare va include mai multe amprente (forme) care vor fi folosite pentru a crea coroana particularizata. Un mulaj va fi de asemenea folosit pentru a crea o coroana temporara (provizorie).

Mulajul va ramane pe dintele preparat pentru aproximativ doua saptamani, pana cand coroana dvs. noua este fabricata de catre un laborator de tehnica dentara. In timp ce dintele este anesteziat (amortit), medicul dentist il va pregati prin inlaturarea oricarui proces carios si conturarea suprafatelor pentru ca viitoarea coroana sa se potriveasca in mod corespunzator. Odata ce aceste detalii sunt realizate, coroana temporara va fi plasata cu ciment temporar si muscatura dvs. va fi verificata pentru a ne asigura ca este corecta. La urmatoarea programare coroana temporara va fi indepartata, dintele va fi curatat, si noua dvs. coroana va fi atent plasata pentru a ne asigura ca spatiul si muscatura sunt corecte. Veti primi instructiuni de ingrijire si indicatii pentru controale regulate la cabinet.

Tipuri de coroane:

  • metalo ceramice
  • integral ceramice
  • din zirconiu

In ultimul timp a capatat notorietate o a doua metoda de aparat invizibil, sub marca Invisalign, care este radical diferit de aparatele descrise pana acum, el fiind de fapt un set de gutiere executate de computer care corespund unor pozitii succesive ale dintilor in miscare si care se poarta cate doua saptamani in mod continuu cu exceptia pauzelor de masa si de igiena orala.

Avantajul acestor gutiere este ca sunt transparente deci aproape invizibile si sunt foarte usor de montat/demontat, vizitele de control la medic fiind mai reduse ca frecventa si numar.

Trebuie mentionat faptul ca aparatele dentare invizibile nu se preteaza pentru orice fel de probleme ortodontice, uneori purtarea unui aparat fix, clasic, fiind absolut necesara.

In plus, in cazuri extreme, purtarea unui aparat dentar nu este posibila fara o operatie chirurgicala asupra osului maxilar (chirurgia ortognatica). Acestea sunt cazuri foarte rare, iar medicul ortodont va va avertiza asupra situatiei in momentul in care faceti prima consultatie de specialitate.

Sub anestezie locala se practica extirparea (extragerea nervului). Odata cu indepartarea tesutului afectat, dispare si durerea. In functie de situatie se poate obtura definitiv canalul in aceeasi sesiune, sau se temporizeaza prin aplicarea de antibiotic sau de hidroxid de calciu, sau de alte substante dezinfectante in interiorul canalelor.

Protezele dentare reprezinta lucrari de ordin protetic menite sa subtituie dintii absenti de la nivelul arcadelor dentare. Astfel, protezele dentare pot fi partiale (substituind un numar limitat de dinti, se ancoreaza prin mijloace speciale de dintii vecini) sau totale (substituind toti dintii, arcadele dentare fiind complet edentate – lipsite de dinti). Protezele dentare sunt confectionate din acrilat sau materiale total fizionomice.

Despre Protezele Scheletate

Protezele dentare sunt impartite in doua clase mari: proteze totale si proteze partiale. Proteza scheletata face parte din categoria protezelor dentare partiale mobile si este recomandata pacientilor care mai au cativa dinti naturali sanatosi. Aceasta este compusa dintr-un schelet metalic din crom-cobalt, invelit intr-un material acrilic unde sunt pozitionati dintii artificiali.

Proteza scheletata este o alternativa eficienta si moderna pentru pacientii care prezinta contraindicatii la implantele dentare, din cauza unor boli ale organismului, cum sunt diabetul si afectiunile cardiovasculare sau din cauza unor probleme ale cavitatii bucale, cum ar fi igiena orala precara, lipsa osului care serveste ca suport pentru implant sau din pricina elementelor anatomice vecine care sunt in contradictie cu introducerea implantului.

Lucrarile dentare care implica aplicarea protezelor scheletate sunt extrem de complexe si necesita mare finete deoarece presupun doua parti elementare: partea fixa (aplicarea unei punti dentare pe dintii restanti) si o parte mobilizabila (are un schelet metalic subtire ce leaga partile edentate si ocoleste dintii restanti). Pe dintii de la marginile puntii se monteaza anumite unelte speciale (telescoape, culise, capse, sisteme articulate, sisteme magnetice), prin intermediul carora proteza scheletata este fixata de punte, oferind, de asemenea, un aspect estetic placut si un plus de confort pacientului. Un alt avantaj al acestui tip de lucrare dentara este costul destul de scazut in comparatie cu pretul realizarii unui implant dentar.

De asemenea, timpul de efectuare al tratamentului cu proteza scheletata dureaza doar 3-4 saptamani, spre deosebire de implantele dentare care dureaza circa 6 luni de zile. In cazul aparitiei unei probleme, proteza scheletata nu este total compromisa, deoarece se poate inlocui doar dintele cu problema.

Datorita suportului realizat din aliaj metalic, proteza este foarte rezistenta. Sistemele speciale care ajuta la atasarea protezei de dintii naturali ai pacientului sunt total invizibile privirilor neavizate. Desi sunt proteze mobile si trebuie scoase atunci cand se supun igienei corespunzatoare, protezele scheletate sunt foarte fixe atunci cand se folosesc. Curatarea protezei scheletate este destul de usoara, ea putand fi scoasa din cavitatea bucala si periata ca dintii naturali. Datorita faptului ca este ancorata de dintii restanti, proteza scheletata este extrem de rezistenta si fixa, chiar si in timpul masticatiei si vorbirii.

Elementele componente ale unui aparat dentar metalic - bracketii metalici sunt confectionati din otel inoxidabil in forma austenitica, rezistenta lui la coroziune fiind sporita prin invelirea bracketilor metalici traditionali in platina sau aur, sau prin confectionarea din titan pur sau aliaje ale acestuia. Din punct de vedere al culorii, poate fi  argintiu sau auriu.

Din punct de vedere al modului in care se ataseaza arcul ortodontic la bracket, un Aparat Dentar Metalic poate fi traditional sau autoligaturant. In cazul celui traditional, care este si cel folosit preponderent in cabinetul nostru, arcul este ancorat la bracket prin intermediul unei ligaturi metalice sau elastice.

Ligaturile elastice pot fi transparente sau colorate si se schimba de obicei lunar. In cazul aparatului dentar metalic autoligaturant, arcul ortodontic este mentinut in bracket printr-un dispozitiv de tip "usita". La randul lor, aceste tipuri de aparate pot fi active sau pasive.

Avantaje aparat dentar metalic

  • Pretul cel mai mic
  • Perioada de tratament de obicei mai scurta
  • Puteti alege o ligatura de culoare inchisa pe care nu vor fi vizibile petele de cafea/cola/nicotina/etc
  • Rezistenta mare la deformare in timpul masticatiei si manevrelor ortodontice din timpul tratamentului.
  • Cei aurii au in general un aspect mai placut.

Dezavantaje aparat dentar metalic

  • Mai vizibil decat cel ceramic/safir/lingual/Invisalign
  • Uneori provoaca disconfort mai mare la nivelul obrajilor/buzelor decat celelalte aparate dentare ( disconfortul dispare in 1-2 saptamani)
  • Unele tipuri de bracketuri care nu sunt invelite intr-un strat de aur sau platina pot elibera elemente precum nichel si crom in mediul bucal.

Orice tratament de canal se considera finalizat doar in urma obturatiei de canal propriu-zise ( umplerea definitiva cu substante sterile biocompatibile specifice).

Aparatele dentare mobile sunt o varianta a aparatelor dentare care se pot scoate din gura de catre pacient, ele sunt concepute in special pentru a ghida cresterea maxilarelor, astfel incat dintii sa aiba locul necesar pentru o pozitionare corecta.

Cine poate beneficia de tratament cu aparat dentar mobil?

Aparatele dentare mobile sunt in special pentru copii in perioada de crestere , de obicei sunt folosite la varsta de 8-12 ani, dar exista cazuri usoare care pot fi tratate cu ajutorul aparatelor mobile chiar si la adulti.

Avantaje aparatului dentar mobil

  • Aparatele dentare mobile sunt eficiente daca se folosesc la varsta potrivita, astfel se pot evita tratamente mai complexe si mai costisitoare la varsta adulta.
  • Aparatele dentare mobile trateaza anomaliile dento-maxilare de la stadiul lor incepient astfel tratamentul este mai eficient si fara risc de recidiva.
  • Aparatele mobile se pot personaliza astfel sunt usor acceptate de catre micutii pacienti.
  • Aparatele dentare mobile au un pret de cost redus in comparatie cu aparatele dentare fixe.

Dezavantaje aparatului dentar mobil

  • Eficienta tratamentului depinde de cooperarea pacientului.
  • Prezinta un disconfort mai mare fata de aparatele fixe.
  • Poate produce dificultati in vorbire la inceputul tratamentului.

Pulpa dentara este reprezentata de tesutul moale aflat in interiorul dintelui (canalele dentare), respectiv de vase de sange, nervi si tesut conjuctiv. Desi pulpa este raspunzatoare de nutritia dintelui prin intermediul vaselor sangvine care patrund prin varful radacinii in dinte, ea nu este raspunzatoare pentru functionalitatea dintelui. Chiar daca pulpa este indepartata ca urmare a tratamentului endodontic, dintele va continua sa fie hranit prin intermediul vascularizatiei structurilor din vecinatate.

Aparatul dentar ceramic este alcatuit din bracketi ceramici a caror compozitie chimica este  reprezentata in principal de alumina (oxid de aluminiu sau Al2O3) cu structura policristalina la care se ataseaza arcurile ortodontice prin intermediu ligaturilor metalice sau elastice. Arcurile ortodontice pot fi argintii sau albe. Cele albe tind sa-si piarda in timp aspectul prin desprinderea neuniforma a invelisului ce le confera aspectul alb, estetic.

Aparatul dentar ceramic isi pastreaza culoarea in timp?

Bracketii ceramici au rezistenta mare la patare, in schimb ligaturile elastice care ataseaza bracketii la arcurile ortodontice se coloreaza de obicei. Acest lucru se intampla mai ales la fumatori si la cei care consuma cafea, ceai, cola. Ligaturile elastice insa se schimba de obicei lunar.

Avantaje aparat dentar ceramic

  • Mai putin vizibil decat cel metalic
  • Pret mai mic decat aparatul lingual INCOGNITO sau Invisalign
  • Uneori provoaca disconfort mai mic decat cel metalic la nivelul obrajilor si buzelor.
  • Exista un tip de bracket-uri ceramice prevazute cu slot metalic.  Acestea imbina excelent avantajele estetice ale ceramicii cu functionalitatea sporita a slot-ului metalic. Astfel, aceste tipuri de bracket-uri sunt preferatele noastre! Cereti mai multe detalii medicului ortodont cu ocazia primei vizite in cabinetul nostru.
  • Poate fi utilizat la pacientii cu alergie la nickel atunci cand sunt integral ceramici.

Dezavantaje aparatului dentar ceramic

  • Pret mai mare decat cel metalic
  • Tratamentul  poate dura uneori mai mult fata de situatia utilizarii unuia metalic pentru ca frictiunea dintre ceramica bracket-ului si arcul ortodontic este mai mare. Acest lucru poate fi evitat insa prin utilizarea unui aparat dentar ceramic cu slot metalic.
  • Cu timpul isi poate modifica culoarea sub actiunea diversilor pigmenti alimetari
  • Potential mare de abraziune a dintilor opusi arcadei dentare pe care se monteaza, nefiind de obicei recomandati la arcada inferioara dentara.
  • Mai putin rezistenti decat cei metalici, putandu-se fractura in timpul masticatiei sau diverselor manevre ortodontice din cursul tratamentului.
  • Risc mai mare de fracturi ale smaltului  odata cu indepartarea de pe dinte.
  • Unele tipuri de bracket-uri ceramice au dimensiuni mai mari decat cele metalice.

Asadar, exista atat avantaje cat si dezavantaje ale aparatului dentar ceramic, dar prin cantarirea lor atenta veti putea lua o decizie informata privind alegerea lui.

Un aparat dentar din safir este alcatuit din bracket-uri a caror compozitie chimica este tot alumina (oxidul de aluminiu sau Al2O3), ca si in cazul bracketurilor ceramice clasice. Diferenta intre cele doua este ca alumina din bracketul de safir are o structura monocristalina fata de cea policristalina a celui ceramic clasic. Acest lucru  confera unui aparat dentar safir o transparenta mai mare si il face uneori mai putin vizibil pe dinti. Am spus uneori, deoarece gradul de vizibilitate depinde de nuanta dintilor pe care se aplica.

Este important de stiut ca aparatul dentar safir nu este invizibil. El este aplicat tot pe suprafata vestibulara a dintilor (dinspre buze si obraji), deci este vizibil, dar mai putin decat cel metalic. Aparatul despre care se poate spune ca este invizibil este aparatul lingual (care se aplica pe suprafata dinspre limba a dintilor).

Arcurile care se pot atasa de bracket-urile din safir pot fi de culoare argintie cel mai frecvent, albe si uneori colorate. Deasemenea, ligaturile prin care se ataseaza arcurile la bracketi pot fi elastice transparente cel mai frecvent, albe sau colorate sau pot fi metalice argintii sau albe. Desi bracketurile din safir au in sine o rezistenta mare la colorare in urma contactului cu diversi pigmenti alimentari, ceea ce se coloreaza destul de frecvent insa sunt aceste ligaturi elastice care ataseaza arcurile ortodontice la bracketi. Aceste ligaturi elastice se schimba la fiecare activare lunara.

Avantajele si dezavantajele fata de cel metalic sunt aceleasi cu cele ale celui ceramic clasic.

Avantaje aparat dentar safir

  • Bracket-uri transparente
  • Mai putin vizibil cand dintii sunt mai albi. Daca dinti au o nuanta galbuie, cel din safir poate deveni mai vizibil decat cel ceramic.
  • Uneori poseda o mai mare rezistenta mecanica si la colorarea din pricina pigmentilor alimentari.

Dezavantaje aparatului dentar safir

  • Pret mai ridicat
  • Risc mai mare de fractura a smaltului la indepartare de pe dinti.
  • Risc de abraziune (uzura) sau fractura a smaltului dintilor de pe arcada opusa. Acesta este unul din motivele pentru care de obicei nu este indicat la arcada inferioara (mandibulara)
  • Risc de fractura al bracket-ului mai mare decat in cazul celui metalic.
Testimonial Image

„Am solicitat o albire profesionala a dintilor deoarece din cauza fumatului au inceput sa isi schimbe culoarea. A fost o procedura simpla cu un efect minunat cu care ma mandresc si in zi de astazi.”

Adriana Macovei

TRATAMENT CHIRURGICAL

Art  Dental  Studio

Formele mai avansate de imbolnavire parodontala, cu pierdere semnificativa de tesut gingival si osos, necesita un tratament chirurgical care urmareste trei obiective principale:

- desfiintarea pungilor parodontale si a continutului patologic al acestora
- indepartarea gingiei hipertrofiate
- remodelarea tesuturilor prin proceduri de aditii, biomateriale

Interventiile chirurgicale sunt reprezentate de: chiuretaj subgingival, operatie cu lambou, regenerare tisulara ghidata.

PREVENIREA PARODONTOZEI

Art  Dental  Studio

- Periajul corect al dintilor de cel putin 2 ori pe zi
- Folosirea unei paste de dinti special creata pentru sanatatea gingiilor
- Schimbarea periutelor o data la 2-3 luni
- Utilizarea regulata a apei de gura si atei dentare

Alte servicii

Art  Dental  Studio

Cui ii este adresata estetica dentara?

Estetica dentara este potrivita pentru toate persoanele ce isi doresc sa se bucure de dinti sanatosi si bine aliniati ce au o firma apropiata de perfectiune. Prin estetica dentara, dintii pot deveni mai albi, iar serviciile de acest tip cuprind multe tehnici pentru un zambet perfect.

Clinica noastra realizeaza toate tehnicile care apartin de estetica dentara pentru a ne multumi clientii si a le oferi rezultate pe cat se poate mai apropiate de perfectiune.

După realizarea planului de tratament și cu ajutorul investigațiilor de diagnostic realizate în cadrul clinicii, fiecare persoana trece prin taramet, iar zambetul va deveni perfect.

Estetica dentara se refera la un aspect deosebit al dintilor, iar in acest sens, va fi imbunatatita si sanatatea orala, protejand dintii pe termen indelungat de carii nedorite sau chiar de pierderea unor dinti.